Sistema DXA Horizon®

Diagnosi affidabili e decisioni terapeutiche consapevoli. Le cure più efficaci per mantenere i vostri pazienti in movimento.

Paziente sdraiato su un lettino durante una scansione in laboratorio

    Panoramica

    Documenti

    Formazione

    Più di un semplice sistema DXA

    Il sistema DXA Horizon di Hologic genera le immagini nitide, chiare e ad alta risoluzione che occorrono per valutare accuratamente la densità ossea, il rischio di fratture, la composizione corporea e la presenza di placche calcificate nell'aorta addominale. Tutto con un unico esame. Il sistema combina diverse tecnologie avanzate e brevettate, che lavorano insieme per fornire un quadro preciso di ciò che accade nell'organismo del paziente. Indipendentemente dalla corporatura1 o dalle condizioni mediche.

    Immagini straordinarie per una vita migliore

    Quando la salute dei pazienti è nelle vostre mani, di sicuro vorrete disporre di immagini di alta qualità e il più possibile accurate per determinare con precisione la densità minerale ossea, individuare le fratture, identificare le calcificazioni aortiche e misurare la composizione corporea.

    Tecnologia ad alta definizione

    Un nuovo array di detettori multi-elemento integra la stessa tecnologia ad alta definizione utilizzata nelle moderne apparecchiature TC e consente di acquisire immagini ad altissima definizione assolutamente affidabili, anche quando si esaminano pazienti robusti e obesi. Grazie alla tecnologia versatile, potrete analizzare una gamma più ampia di condizioni cliniche con velocità e accuratezza.

    Facilità d'uso

    Il sistema è veloce da apprendere e semplice da usare e dispone di un'interfaccia grafica che semplifica la procedura d'esame dall'inizio alla fine. Inoltre abbiamo inserito numerosi strumenti innovativi per migliorare il flusso di lavoro, accelerare la produttività e semplificare la comunicazione e la collaborazione con altri medici, anche quando si trovano in altre sedi.

    Migliore esperienza per la paziente

    Un'unica piattaforma completa per valutare più malattie croniche nel corso di una sola visita. I vostri pazienti saranno a proprio agio e apprezzeranno i rapidi tempi di esecuzione dell'esame e la bassa dose di raggi X, mentre voi potrete offrire loro una gamma più ampia di servizi.

    Migliorare la gestione dei pazienti

    L'array di detettori è abbinato ad un nuovo generatore di raggi X ad alte prestazioni che incrementa la capacità di carico termico, per una maggiore durata senza tempi di raffreddamento. Questo non solo consente di esaminare un maggior numero di pazienti, ma migliora anche la qualità dell'immagine. Le immagini ad alta risoluzione del sistema sono concepite per migliorare la vostra vita e quella dei vostri pazienti.

    Grafico del Continuum of Care

    Sbloccare il vantaggio del tempo

    Il Breast Health Continuum of Care presenta soluzioni integrate per offrire affidabilità clinica, efficienza operativa e una maggiore attenzione alle esigenze delle pazienti. Permette a più donne di vivere più a lungo in condizioni di salute migliori.

    Insieme alle altre applicazioni cliniche, il sistema DXA Horizon fa parte delle Soluzioni per la Salute Metabolica.

    Vivere in movimento

    Questi dati illustrano chiaramente gli effetti devastanti delle malattie croniche, oltre a evidenziare una crescente richiesta di screening affidabili, metodi di diagnosi precoce e cure personalizzate che aiutino le persone a vivere più a lungo rimanendo in salute.

    Dopo i 50 anni

    1 donna su 3 e 1 uomo su 5 subiranno una frattura dovuta a fragilità ossea2

    17 milioni

    di persone in tutto il mondo moriranno a causa di malattie cardiovascolari3

    39%

    degli adulti a livello globale è in sovrappeso o obeso4

    Visitate il nostro ospedale virtuale

    Scoprite le nostre soluzioni in 3D nella sala virtuale per la chirurgia ortopedica e per la salute metabolica e delle ossa.

    Immagine dell'ospedale virtuale che mostra la sala per la salute ossea

    Un'unica soluzione per molteplici applicazioni

    Immagini cliniche

    Un'esperienza confortevole

    • Appena 10 minuti per analizzare l'anca e la colonna vertebrale.30
    • Il paziente rimane sdraiato su un comodo lettino imbottito.
    • Nessuna iniezione, procedura indolore e non invasiva.
    • Nessuna preparazione, basta indossare abiti comodi e privi di ganci, bottoni o cerniere in metallo.
    • Radiografia a bassissima dose, inferiore alle radiazioni di fondo assorbite in un giorno o alla dose assorbita su un volo di linea.30
    Paziente sdraiato su un lettino per la scansione.

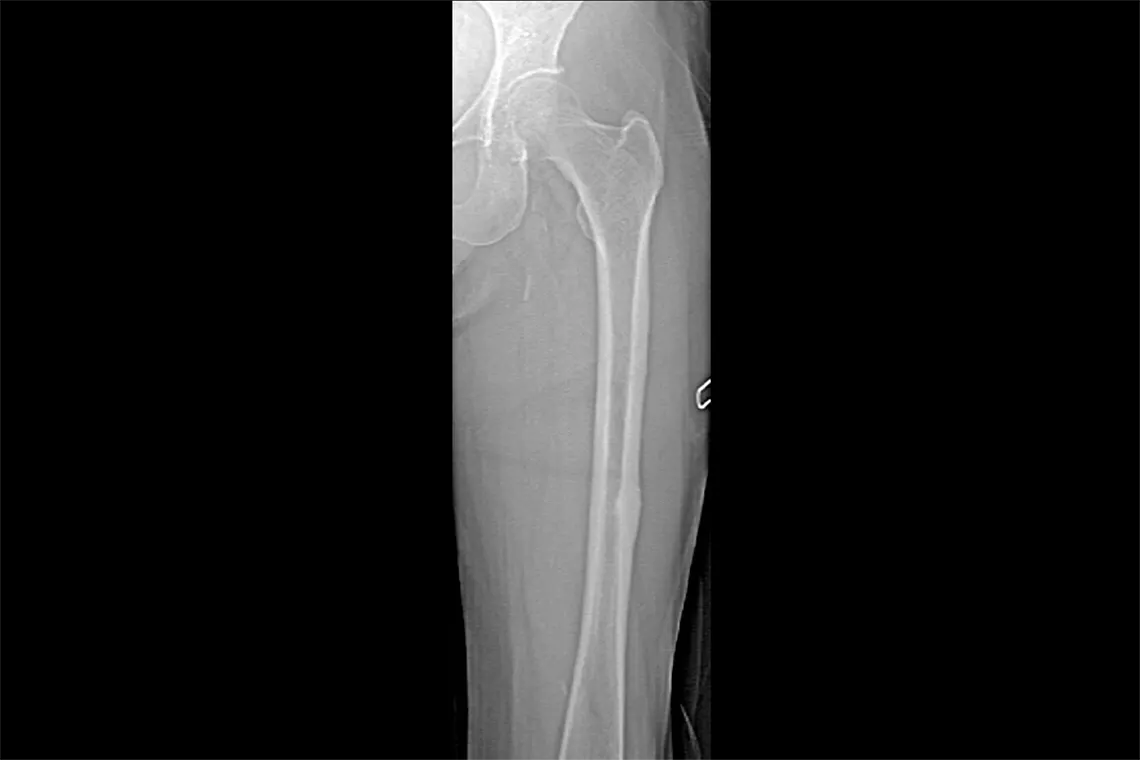
    Un sistema che offre di più

      Il sistema DXA Horizon produce immagini di qualità radiografica dell'intero femore per la valutazione di potenziali fratture atipiche.30 Una scansione rapida, della durata di 15 secondi, evidenzia l'ispessimento corticale dell'osso, per monitorare più in fretta e facilmente gli effetti nel tempo della terapia a base di bifosfonati.

      Questo sistema permette di visualizzare placche calcificate nell'aorta addominale, indicative del rischio di cardiopatie e ictus, due delle principali cause di morte negli uomini e nelle donne.

      Valuta il rischio di fratture combinando un'accurata misurazione della densità ossea con un imaging vertebrale ad alta risoluzione. È possibile individuare fratture della colonna vertebrale con un'immagine a basso dosaggio ed energia singola in soli 10 secondi.

      Migliora l'accuratezza e riduce gli errori di valutazione post-esame grazie alla funzione software che consente un preciso posizionamento degli spazi intervertebrali per l'analisi grafica.

      L'esclusivo sistema di calibrazione dinamica Hologic offre una calibrazione pixel per pixel attraverso equivalenti di osso e tessuto, per una maggiore accuratezza a lungo termine.31

      Un nuovo array di detettori in ceramica ad alta risoluzione si abbina a una geometria di acquisizione con fascio a ventaglio per misurare la densità ossea a doppia energia rapidamente e in una singola scansione. OnePass elimina gli errori di sovrapposizione del fascio e la distorsione dell'immagine che caratterizzano le tecniche di acquisizione rettilinee, per immagini di qualità superiore e stabilità dei dati. Un'altra esclusiva Hologic.

      Un'innovativa interfaccia grafica semplifica il posizionamento del paziente, la scansione, l'archiviazione delle immagini e il trasferimento di dati, per migliorare il flusso di lavoro e la soddisfazione del paziente.

      La funzione MXApro™ nel software operativo APEX™ classifica automaticamente la deformità vertebrale e comunica i dati direttamente alla funzione diagnostica integrata Physician's Report Writer™. Questo consente di accelerare il flusso di lavoro grazie all'interpretazione integrata a distanza e alla creazione di referti con un solo clic. È anche possibile visualizzare e analizzare immagini e informazioni ovunque e su qualsiasi dispositivo.

      Il pacchetto IRIS™ Enterprise Connectivity apre le porte alla densitometria paperless. È possibile archiviare le immagini sul PACS e scaricare i dati anagrafici e i dati dell'esame direttamente dall'HIS allo scanner, per ridurre i costi e il rischio di errori. È inoltre possibile inviare i file DICOM di BMD e Instant Vertebral Assessment™ al programma Physicians Viewer™ Hologic e al PACS, per poi trasmettere i referti ai sistemi HIS/RIS ed EMR tramite HL7. Infine, il nostro software opzionale DB Sync™ consente di condividere i dati tra scanner che si trovano in luoghi diversi.

      Il lavoro dell'operatore è ridotto del 25% grazie a operazioni automatizzate di posizionamento del paziente e acquisizione delle immagini. Il software Express Exam™ guida l'operatore attraverso tutte le fasi della procedura.

      Evidenze. Approfondimenti. Collaborazione.

      Il nostro portale formativo migliora la cura del paziente grazie all'eccellenza della formazione, alla comunicazione delle evidenze cliniche e scientifiche e alla collaborazione con la comunità sanitaria.

      Approfondimenti

      Radiologi che esaminano una mammografia con tomosintesi su un monitor Radiologi che esaminano una mammografia con tomosintesi su un monitor

      Risultati dello studio ToSyMa, un futuro in 3D nello screening per i tumori della mammella

      Donne sedute davanti a un mammografo a fianco di un operatore sanitario. Donne sedute davanti a un mammografo a fianco di un operatore sanitario.

      Lo screening della mammella e della cervice uterina oggi e in futuro

      Medico e paziente che parlano del tumore della mammella Medico e paziente che parlano del tumore della mammella

      Interventi non chirurgici mini-invasivi per il tumore della mammella

        1. Peso del paziente fino a 227 kg (500 libbre), MAN-04871 Rev. 014 (10/2021)
        2. www.osteoporosis.foundation/facts-statistics/epidemiology-of-osteoporosis-and-fragility-fractures (accesso: 3 gennaio 2023).
        3. www.who.int/news-room/fact-sheets/detail/cardiovascular-diseases-(cvds) (accesso: 3 gennaio 2023)
        4. www.who.int/news-room/fact-sheets/detail/obesity-and-overweight (accesso: 3 gennaio 2023)
        5. Johnell O and Kanis JA (2006) An estimate of the worldwide prevalence and disability associated with osteoporotic fractures. Osteoporos Int 17:1726.
        6. www.osteoporosis.foundation/facts-statistics/epidemiology-of-osteoporosis-and-fragility-fractures (accesso: 3 gennaio 2023).
        7. Keene, G.S., M.J. Parker, G.A. Pryor, Mortality and morbidity after hip fractures. BMJ, 1993. 307(6914): p. 1248-50
        8. Borgström F, Karlsson L, Ortsäter G, et al. International Osteoporosis Foundation. Fragility fractures in Europe: burden, management and opportunities. Arch Osteoporos. 2020 Apr 19;15(1):59. doi: 10.1007/s11657-020-0706-y. 
        9. https://www.osteoporosis.foundation/facts-statistics/epidemiology-of-osteoporosis-and-fragility-fractures (accesso: 3 gennaio 2023)
        10. NIH, NHLBI Obesity Education Initiative. Clinical Guidelines on the Identification, Evaluation, and Treatment of Overweight and Obesity in Adults. / Kelly TL, Wilson KE, Heymsfield SB (2009) Dual energy X-Ray absorptiometry body composition reference values from NHANES.
        11. Cruz-Jentoft A.J., Baeyens J.P., Bauer J.M. et al. Sarcopenia: European consensus on definition and diagnosis: Report of the European Working Group on Sarcopenia in Older People, Age and Ageing, Volume 39, Issue 4, July 2010, Pages 412–42
        12. Marques A. & Queiros C. Frailty, Sarcopenia and Falls. In: Hertz, K., Santy-Tomlinson, J. (eds) Fragility Fracture Nursing. Perspectives in Nursing Management and Care for Older Adults. Springer, Cham. https://doi.org/10.1007/978-3-319-76681-2_2
        13. Baumgarner R.N., Koehler K.M., Romero L. et al. Epidemiology of Sarcopenia among elderly in New Mexico. Am J 1998;147: 755-63
        14. Baumgarner R.N. Body Composition in Healthy aging ANN N Y Acad Sci 2000:904:437-48
        15. Hadji P, Aapro MS, Body JJ, et al. Management of Aromatase Inhibitor-Associated Bone Loss (AIBL) in postmenopausal women with hormone sensitive breast cancer: Joint position statement of the IOF, CABS, ECTS, IEG, ESCEO IMS, and SIOG. J Bone Oncol. 2017 Mar 23;7:1-12. doi: 10.1016/j.jbo.2017.03.001. 
        16. Eastell R, Adams JE, Coleman RE, et al. Effect of anastrozole on bone mineral density: 5-year results from the anastrozole, tamoxifen, alone or in combination trial 18233230. J Clin Oncol. 2008 Mar 1;26(7):1051-7. doi: 10.1200/JCO.2007.11.0726. 
        17. Iyengar NM, Arthur R, Manson JE, et al. Association of Body Fat and Risk of Breast Cancer in Postmenopausal Women With Normal Body Mass Index: A Secondary Analysis of a Randomized Clinical Trial and Observational Study. JAMA Oncol. 2019 Feb 1;5(2):155-163. doi: 10.1001/jamaoncol.2018.5327. 
        18. Ballard-Barbash R, Schatzkin A, Carter CL, et al. Body fat distribution and breast cancer in the Framingham Study. J Natl Cancer Inst. 1990 Feb 21;82(4):286-90. doi: 10.1093/jnci/82.4.286. 
        19. E V Bandera, E M Johnl. Obesity, Body Composition, and Breast Cancer: An Evolving Science JAMA Oncol. 2018 Jun 1;4(6):804-805. doi: 10.1001/jamaoncol.2018.0125
        20. Freedman RJ, Aziz N, Albanes D, et al. Weight and body composition changes during and after adjuvant chemotherapy in women with breast cancer. J Clin Endocrinol Metab. 2004 May;89(5):2248-53. doi: 10.1210/jc.2003-031874. 
        21. Battisti S, Guida FM, Coppa F, et al. Modification of abdominal fat distribution after aromatase inhibitor therapy in breast cancer patients visualized using 3-D computed tomography volumetry. Clin Breast Cancer. 2014 Oct;14(5):365-70. doi: 10.1016/j.clbc.2014.02.003. Epub 2014 Mar 6. 
        22. https://www.europadonna.org/breast-cancer/#:~:text=1%20in%2011%20women%20in,younger%20than%2050%20years%20old* (accesso: 13 febbraio 2023)
        23. https://www.worldosteoporosisday.org/about-osteoporosis (accesso: 13 febbraio 2023)
        24. Kolb R, Zhang W. Obesity and Breast Cancer: A Case of Inflamed Adipose Tissue. Cancers (Basel). 2020 Jun 25;12(6):1686. doi: 10.3390/cancers12061686. PMID: 32630445; PMCID: PMC7352736.
        25. Han J., Harrison L., Patzelt L., et al. Imaging modalities for diagnosis and monitoring of cancer cachexia. EJNMMI Res. 2021 Sep 23;11(1):94. doi: 10.1186/s13550-021-00834-2. PMID: 34557972; PMCID: PMC8460705.
        26. Bailey DA, McKay HA, Mirwald RL, et al. A six-year longitudinal study of the relationship of physical activity to bone mineral accrual in growing children: the university of Saskatchewan bone mineral accrual study. J Bone Miner Res. 1999 Oct;14(10):1672-9. doi: 10.1359/jbmr.1999.14.10.1672. 
        27. Matkovic Timing of peak bone mass in Caucasian females and its implication or the prevention of Osteoporosis J Clin Invest 1994; 93,799-808
        28. Current Clinical Practice: Bone Densitometry in Growing Patients: Guidelines for Clinical Practice Edited by: A. J. Sawyer, L. K. Bachrach, E. B. Fung © Humana Press Inc., Totowa, NJ
        29. www.who.int/news-room/fact-sheets/detail/ageing-and-health#:~:text=The%20pace%20of%20population%20ageing,from%2012%25%20to%2022%25. Accesso: 13 febbraio.
        30. Horizon, Guida per l'utente, MAN-08072-002 Rev. 003
        31. Hangartner TN. A study of the long-term precision of dual-energy x-ray absorptiometry bone densitometers and implications for the validity of the least-significant-change calculation. Osteoporosis Int. 2007 Apr;18(4); 513-23

        2797
        0482

        Hologic BV, Da Vincilaan 5, 1930 Zaventem, Belgium.

        Numero dell'organismo notificato ove pertinente
        Dati del rappresentante CE ove pertinente

        Questo sito è rivolto esclusivamente a professionisti del settore sanitario