Tecnologia Quantra™

Funzionalità di machine learning per standardizzare l'analisi della densità mammaria.

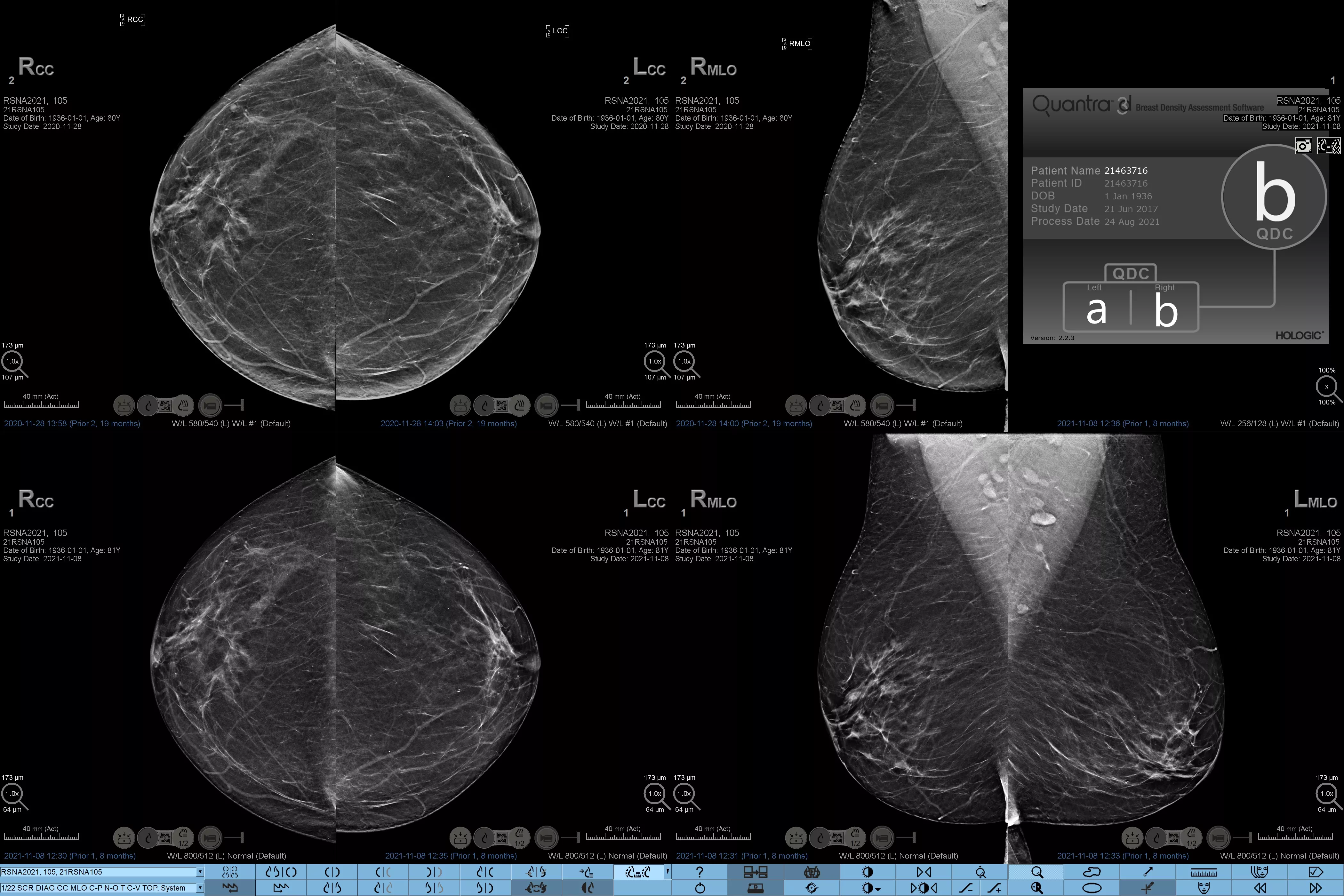
Tecnico di laboratorio che esamina le immagini della Tecnologia Quantra™ Hologic su uno schermo

    Panoramica

    Documenti

    Formazione

    Standardizzazione dell'analisi della densità mammaria

    È noto che una maggiore densità del tessuto aumenta il rischio di tumore della mammella.1 È pertanto essenziale effettuare un'analisi accurata e obiettiva. Grazie alle funzionalità di machine learning, il software della tecnologia Quantra analizza le immagini 2D™ e di tomosintesi per evidenziare la distribuzione e l'aspetto del tessuto parenchimale. Classifica le mammelle in quattro categorie in base alla composizione, in linea con le indicazioni del BI-RADS Atlas dell'American College of Radiology (ACR), 5a edizione.2

    Migliore previsione del rischio

    Oltre al volume, la struttura e l'aspetto del tessuto fibroghiandolare possono svolgere un ruolo altrettanto importante nella previsione del rischio di cancro al seno.3-5 Analizzando e categorizzando la struttura e l'aspetto del tessuto mammario, la nostra tecnologia può fornire informazioni accurate che permettono di ottenere classificazioni coerenti e affidabili e di pianificare uno screening personalizzato.

    Valutazione obiettiva

    Algoritmo di machine learning oggettivo che assegna la categoria di densità mammaria in base all'analisi dell'aspetto e della struttura del tessuto.

    Standardizzazione

    Migliore standard di cura e refertazione uniformata nell’intero centro diagnostico.

    Un percorso diagnostico più agevole per la paziente

    La densità visualizzata sulla postazione di acquisizione facilita i protocolli di trattamento quando si rende necessario un imaging supplementare.

    Illustrazione del Breast Health Continuum of Care di Hologic con la radiologia

    Sbloccare il vantaggio del tempo

    Il Breast Health Continuum of Care presenta soluzioni integrate per offrire affidabilità clinica, efficienza operativa e una maggiore attenzione alle esigenze delle pazienti. Permette a più donne di vivere più a lungo in condizioni di salute migliori.

    La Tecnologia Quantra fa parte delle Soluzioni di Screening e Diagnosi Hologic.

    Idea progettuale e prestazioni cliniche

    L'algoritmo imparziale del software Quantra analizza le immagini 2D e di tomosintesi per supportare l'analisi mediante:

    • L'eliminazione della soggettività nelle valutazioni visive, per classificazioni più coerenti e affidabili.*
    • Il miglioramento dello standard di cura e la refertazione uniformata.
    • La semplificazione dei protocolli di trattamento delle pazienti per ulteriori screening.
    Mammografie
    Donna che chiede informazioni alla reception della Senologia di un ospedale

    Visitate il nostro ospedale virtuale

    Sfogliate il nostro catalogo di soluzioni in 3D per la salute della mammella. Scoprite le soluzioni per sbloccare il vantaggio del tempo attraverso il Breast Continuum of Care.

    Soluzioni software integrate basate su AI Hologic

    I nostri prodotti sono studiati per la collaborazione e possono essere personalizzati in base alle vostre esigenze. La nostra suite all’avanguardia di soluzioni AI integrate è studiata per migliorare l'individuazione e la diagnosi precoce dei tumori della mammella, velocizzare il flusso di lavoro e offrire alle pazienti un'assistenza personalizzata con la valutazione automatizzata della densità mammaria. Parlatene con i nostri esperti per trovare la soluzione più adatta a voi.

    Categorie di rischio8

    Evidenze. Approfondimenti. Collaborazione.

    Il nostro portale formativo migliora la cura del paziente grazie all'eccellenza della formazione, alla comunicazione delle evidenze cliniche e scientifiche e alla collaborazione con la comunità sanitaria.

    Approfondimenti

    Radiologi che esaminano una mammografia con tomosintesi su un monitor Radiologi che esaminano una mammografia con tomosintesi su un monitor

    Risultati dello studio ToSyMa, un futuro in 3D nello screening per i tumori della mammella

    Donne sedute davanti a un mammografo a fianco di un operatore sanitario. Donne sedute davanti a un mammografo a fianco di un operatore sanitario.

    Lo screening della mammella e della cervice uterina oggi e in futuro

    Medico e paziente che parlano del tumore della mammella Medico e paziente che parlano del tumore della mammella

    Interventi non chirurgici mini-invasivi per il tumore della mammella

      *I punteggi si basano sulle categorie ACR BI-RADS, in conformità con le linee guida riviste del BI-RADS Atlas dell'American College of Radiation (ACR), 5a edizione. Per determinare la densità si tiene conto della struttura e dell'aspetto del tessuto rispetto al volume.
      **Considerando di dedicare 8 ore al giorno alla refertazione delle immagini.
      1. Rafferty EA, Durand MA, Conant EF, et al. Breast Cancer Screening Using Tomosynthesis and Digital Mammography in Dense and Nondense Breasts. JAMA. 2016 Apr 26;315(16):1784-6.
      2. ACR BI-RADS Atlas, 5th Edition. 2013 Disponibile alla pagina https://www.acr.org/Clinical-Resources/Reporting-and-Data-Systems/Bi-Rads - (accesso: Nov 2019)
      3. Zuley M, Guo B, Catullo V, et al. “Comparison of Two-dimensional Synthesized Mammograms versus Original Digital Mammograms Alone and in Combination with Tomosynthesis Images.” Radiology. 2014 Jun;271(3):664-71. Epub 2014 Jan 21
      4. Durand M, Raghu M, Geisel J, et al. "Synthesized 2D Mammography + Tomosynthesis: Can We See Clearly?" (articolo presentato al convegno annuale della Società di Radiologia del Nord America, Chicago, Il, dicembre 2015).
      5. Choi J, Han B, Ko E, et al. "Comparison with Two-Dimensional Synthetic Mammography Reconstructed from Digital Breast Tomosynthesis and Full Field Digital Mammography for the Detection of T1 Breast Cancer." European Radiology. 2016 Aug;26(8):2538-46. Epub 2015 Dec.
      6. Dati in archivio presso Hologic: DHM-08611 Rev. 006.
      7. Dati in archivio: Clinical Study Report CSR-00116, Rev. 004.
      8. Categorie di densità del tessuto mammario descritte in ACR BI-RADS Atlas.

       

      Schede di Dati di Sicurezza

      Fogli illustrativi

      2797

      Hologic BV, Da Vincilaan 5, 1930 Zaventem, Belgium.

      Numero dell'organismo notificato ove pertinente

      Questo sito è rivolto esclusivamente a professionisti del settore sanitario