Marcatori del Sito di Biopsia Mammaria

Forme diverse per un'ottima visibilità a lungo termine. Studiati per identificare con affidabilità i siti bioptici.

Marcatori del Sito di Biopsia Mammaria di forme diverse

    Panoramica

    Documenti

    Formazione

    Una gamma completa

    I marcatori per la cavità bioptica Hologic sono disponibili in diverse forme, misure e lunghezze. Sono compatibili con le biopsie sotto guida radiografica, ecografica e RM.  Tutti i marcatori sono dotati di un dispositivo di rilascio ergonomico e intuitivo.

    Marcatori del sito bioptico Tumark®

    Progettati per garantire una visibilità a lungo termine. Tutti i marcatori Tumark sono permanenti, biocompatibili e non bioassorbibili, offrono un'eccellente visibilità e sono studiati per contenere al minimo la migrazione.1

    Marcatori del sito bioptico SecurMark®

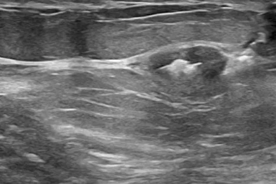
    Studiati per contenere al minimo la migrazione,2 questi marcatori sono perfettamente visibili in ecografia al momento dell'applicazione e rimangono ben identificabili anche dopo 6 settimane dalla biopsia, un fattore essenziale in caso di futuri interventi sulla mammella.3 Ogni marcatore è composto da due parti, un marcatore permanente e una rete bioassorbibile in materiale analogo al filo per sutura.

    Marcatori del sito bioptico TriMark®

    Ideali per le pazienti con mammelle piccole e per le lesioni superficiali. Il marcatore viene rilasciato nel sito bioptico grazie all'estremità rigida e alla punta smussata.

    Illustrazione del Breast Health Continuum of Care di Hologic con la radiologia

    Sbloccare il vantaggio del tempo

    Il Breast Health Continuum of Care presenta soluzioni integrate per offrire affidabilità clinica, efficienza operativa e una maggiore attenzione alle esigenze delle pazienti. Permette a più donne di vivere più a lungo in condizioni di salute migliori.

    I marcatori del sito bioptico fanno parte delle Soluzioni di Localizzazione e Marcatura Hologic.

    Identificazione affidabile

    Gli studi dimostrano che i marcatori del sito bioptico Tumark Professional X, Q e Vision sono accurati e facili da applicare.1

    85%

    degli operatori conferma una visibilità ecografica da buona a eccellente al momento dell'applicazione1

    92%

    di marcatori rilasciati con accuratezza nell'area prevista1

    99%

    degli operatori ha convenuto che il dispositivo è facile da utilizzare1

    Donna in visita all'ospedale virtuale, con la sala di chirurgia mammaria e il laboratorio di patologia

    Visitate il nostro ospedale virtuale

    Sfogliate il nostro catalogo di soluzioni in 3D per la salute della mammella. Scoprite le soluzioni per sbloccare il vantaggio del tempo con il Breast Continuum of Care.

    Scoprite la gamma completa di marcatori del sito bioptico

    Galleria di immagini

    Evidenze. Approfondimenti. Collaborazione.

    Il nostro portale formativo migliora la cura del paziente grazie all'eccellenza della formazione, alla comunicazione delle evidenze cliniche e scientifiche e alla collaborazione con la comunità sanitaria.

    Approfondimenti

    Radiologi che esaminano una mammografia con tomosintesi su un monitor Radiologi che esaminano una mammografia con tomosintesi su un monitor

    Risultati dello studio ToSyMa, un futuro in 3D nello screening per i tumori della mammella

    Donne sedute davanti a un mammografo a fianco di un operatore sanitario. Donne sedute davanti a un mammografo a fianco di un operatore sanitario.

    Lo screening della mammella e della cervice uterina oggi e in futuro

    Medico e paziente che parlano del tumore della mammella Medico e paziente che parlano del tumore della mammella

    Interventi non chirurgici mini-invasivi per il tumore della mammella

      1. Dati in archivio presso Hologic. DHM-06169, Rev. 001. * Secondo lo studio di raccolta dati per il marcatore Tumark®, 3 medici in 3 ospedali per 90 posizionamenti, 2017.
      2. Yen P, Dumas S, Albert A, et al. Post-Vacuum-Assisted Stereotactic Core Biopsy Clip Displacement: A Comparison Between Commercially Available Clips and Surgical Clip. Can Assoc Radiol J. Febbraio 2018;69(1):10-15. doi: 10.1016/j.carj.2017.08.004. PMID: 29458952. I dispositivi mostrano una migrazione inferiore alle tradizionali clip chirurgiche in metallo (28% e 27% contro il 38%, p = 0,001 e p = 0,0001). La visibilità dipende dal tessuto circostante, l'esperienza può variare.
      3. Pinkney DM, Shah BA. Prospective Comparative Study to Evaluate the Sonographic Visibility of Five Commercially Available Breast Biopsy Markers. Journal of Diagnostic Medical Sonography. 2013;29(4):151-158. doi:10.1177/8756479313486962. *Il 45,4% degli intervistati ha giudicato elevata la visibilità ecografica di SecurMark dopo 6 settimane dalla procedura, 4 volte in più rispetto a Gel Mark UltraCor™
      4. Dati in archivio presso Hologic. MISC-07876, Rev. 001, allegato 2. Rüland 2018 (n=50), Kuemmel 2020 (n=300), Sondaggio PMCF Hologic (n=29).
      5. Dati in archivio presso Hologic. MISC-07876, Rev. 001, allegato 2. Appendice G, Sondaggio sul feedback dei clienti.
      6. Dati in archivio presso Hologic. MISC-07876, Rev. 001, allegato 2. Flores-Funes 2021 (n=60), Jain 2017 (n=9), Siegmann 2009 (n=29), Wienbeck 2017 (n=3), Stahl 2021 (n=114), Rüland 2018 (n=50), Woodard 2019 (n=1).
      7. Dati in archivio presso Hologic. MISC-07876, Rev. 001, allegato 2, allegato 45. Flores-Funes 2021 (n=60), Hyde 2019 (n=50), Siegmann 2009 (n=29), Wienbeck 2017.
      8. Dati in archivio presso Hologic. MISC-07876, Rev. 001, allegato 2. Flores-Funes 2021 (n=60), Jain 2017 (n=9), Siegmann 2009 (n=29), Woodard 2019 (n=1), Wienbeck 2017 (n=3), Stahl 2021 (n=49).

      2797
      0482

      Hologic BV, Da Vincilaan 5, 1930 Zaventem, Belgium.

      Numero dell'organismo notificato ove pertinente
      Dati del rappresentante CE ove pertinente

      Questo sito è rivolto esclusivamente a professionisti del settore sanitario