Immagini Sintetiche C-View™

Immagini di alta qualità con minimizzazione delle radiazioni e del disagio.

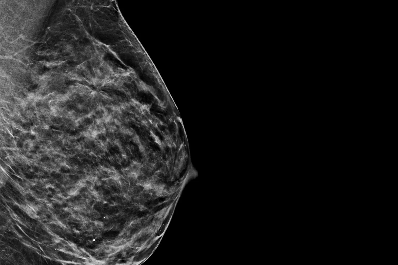
Mammografia su sfondo nero

    Panoramica

    Documenti

    Formazione

    Esami a basso dosaggio ed estremamente accurati

    Il software C-View e le immagini sintetiche 2D generate istantaneamente migliorano le prestazioni dello screening per i tumori della mammella1-4. I dettagli sono più precisi, le analisi più veloci e la dose di radiazione ridotta. Le immagini 2D C-View sono clinicamente validate3,5 e approvate dalla FDA per sostituire a livello diagnostico le immagini FFDM nell'ambito dell'esame di screening tramite tomosintesi.

    L'imaging 2D C-View è disponibile come opzione acquistabile per i sistemi Selenia® Dimensions® e 3Dimensions™. È compatibile solo con l'imaging 3D a risoluzione standard, ma non con l'imaging 3D ad alta risoluzione.

    Maggiore visibilità per una migliore efficienza diagnostica

    Distorsioni architetturali, masse e foci generalmente presenti nelle microcalcificazioni sono meglio visibili nell’immagine 2D C-View™ rispetto all'immagine 2D FFDM tradizionale o alle sezioni di tomosintesi.4,6-9

    Prestazioni superiori

    Prestazioni cliniche di livello superiore rispetto alla sola mammografia 2D per tutte le tipologie di mammella.4

    Riduzione del rischio

    Le scansioni ultra-rapide in soli 3,7 secondi*10,11 riducono il rischio di dover ripetere l'esame.5,7

    Maggiore accuratezza

    Maggiore accuratezza con dosi inferiori.**7

    Grafico del Continuum of Care

    Sbloccare il vantaggio del tempo

    Il Breast Health Continuum of Care presenta soluzioni integrate per offrire affidabilità clinica, efficienza operativa e una maggiore attenzione alle esigenze delle pazienti. Permette a più donne di vivere più a lungo in condizioni di salute migliori.

    Le Immagini Sintetiche C-View fanno parte delle Soluzioni di Screening e Diagnosi Hologic.

    La prova è nei dettagli

    Le immagini 2D C-View sono clinicamente validate3,5 e approvate dalla FDA per sostituire a livello diagnostico le immagini FFDM nell'ambito dell'esame di screening tramite tomosintesi. Possono essere utilizzate come supporto per analizzare le sezioni di tomosintesi. Studi pubblicati dimostrano che l'esame di mammografia 3D a bassa dose individua i tumori invasivi in anticipo, riducendo allo stesso tempo anche il numero di richiami per falsi positivi rispetto al solo esame 2D.4,5,7

    Distorsioni architetturali, masse e foci generalmente presenti nelle microcalcificazioni sono meglio visibili nell'immagine 2D C-View™ rispetto all'immagine 2D FFDM tradizionale o alle sezioni di tomosintesi.4,6-9

    Immagini di mammografie
    Immagine della Senologia nell’ospedale virtuale.

    Visitate il nostro ospedale virtuale

    Sfogliate il nostro catalogo di soluzioni in 3D per la salute della mammella. Scoprite le soluzioni per sbloccare il vantaggio del tempo attraverso il Breast Continuum of Care. 

    Evidenze. Approfondimenti. Collaborazione.

    Il nostro portale formativo migliora la cura del paziente grazie all'eccellenza della formazione, alla comunicazione delle evidenze cliniche e scientifiche e alla collaborazione con la comunità sanitaria.

    Approfondimenti

    Radiologi che esaminano una mammografia con tomosintesi su un monitor Radiologi che esaminano una mammografia con tomosintesi su un monitor

    Risultati dello studio ToSyMa, un futuro in 3D nello screening per i tumori della mammella

    Donne sedute davanti a un mammografo a fianco di un operatore sanitario. Donne sedute davanti a un mammografo a fianco di un operatore sanitario.

    Lo screening della mammella e della cervice uterina oggi e in futuro

    Medico e paziente che parlano del tumore della mammella Medico e paziente che parlano del tumore della mammella

    Interventi non chirurgici mini-invasivi per il tumore della mammella

      * Rispetto ad altri modelli standard
      ** Con DBT + 2D sintetica rispetto a DBT + 2D standard
      1. Friedewald SM, Rafferty EA, Rose SL, et al. Breast cancer screening using tomosynthesis in combination with digital mammography. JAMA. 2014 Jun 25;311(24):2499-507.
      2. Rafferty EA, Durand MA, Conant EF, et al. Breast Cancer Screening Using Tomosynthesis and Digital Mammography in Dense and Nondense Breasts. JAMA. 2016;315(16): 1784-6.
      3. Zeng B, Yu K, Gao L, Zeng X et al. Breast cancer screening using synthesized two-dimensional mammography: A systematic review and meta-analysis, Elsevier Breast 2021 Oct; 59: 270–278.
      4. Bernardi D, Macaskill P, Pellegrini M, et al. Breast cancer screening with tomosynthesis (3D mammography) with acquired or synthetic 2D mammography compared with 2D mammography alone (STORM-2): a population-based prospective study. Lancet Oncol. 2016 Aug;17(8):1105-13.
      5. Skaane P, Bandos A, Eben E, et al. “Two-View Digital Breast Tomosynthesis Screening with Synthetically Reconstructed Projection Images: Comparison with Digital Breast Tomosynthesis with Full-Field Digital Mammographic Images” Radiology. 2014 Jun; 271(3):655-63.
      6. Durand M, Raghu M, Geisel J, et al. "Synthesized 2D Mammography + Tomosynthesis: Can We See Clearly?" (articolo presentato al convegno annuale della Società di Radiologia del Nord America, Chicago, Il, dicembre 2015).
      7. Zuckerman SP, Conant EF, Keller BM, et al. Implementation of Synthesized Two-dimensional Mammography in a Population-based Digital Breast Tomosynthesis Screening Program. Radiology. 2016 Dec;281(3):730-736.
      8. Zuley M, Guo B, Catullo V, et al. “Comparison of Two-dimensional Synthesized Mammograms versus Original Digital Mammograms Alone and in Combination with Tomosynthesis Images.” Radiology. 2014 Jun;271(3):664-71. Epub 2014 Jan 21.
      9. Woo O, Choi G, Shin H, et al. "Comparative Diagnostic Value of Two-dimensional Synthesized Mammogram and Conventional Full-field Digital Mammogram for Evaluation of Breast Cancer" (poster presentato in occasione del convegno annuale della Società di Radiologia del Nord America, Chicago, Il, dicembre 2015).
      10. Rocha Garcia AM., Mera Fernandez D. Breast tomosynthesis: State of the art. Radiologia. 2019;61(4):274-285
      11. Lai Y-C, Ray KM, Mainprize JG, et al. Digital Breast Tomosynthesis: Technique and Common Artifacts. Journal of Breast Imaging 2020;2:615-28.

      Documenti

      Schede di Dati di Sicurezza

      Fogli illustrativi

      2797

      Hologic BV, Da Vincilaan 5, 1930 Zaventem, Belgium.

      Numero dell'organismo notificato ove pertinente

      Questo sito è rivolto esclusivamente a professionisti del settore sanitario